Skip to main content
Compassionate Colposcopy® Devices

Histopathology Cases

 
 


Histopathology Cases

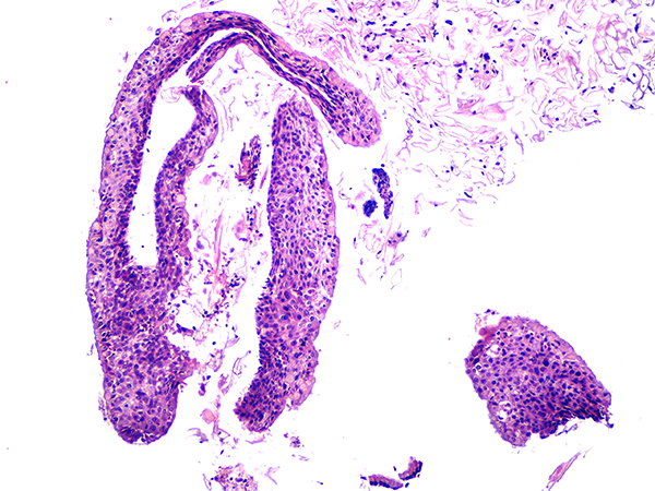
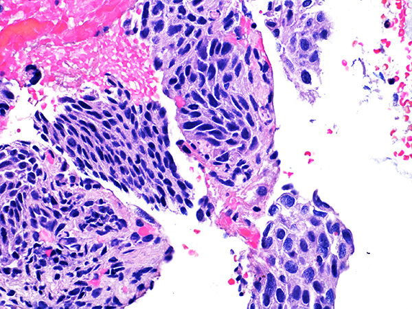
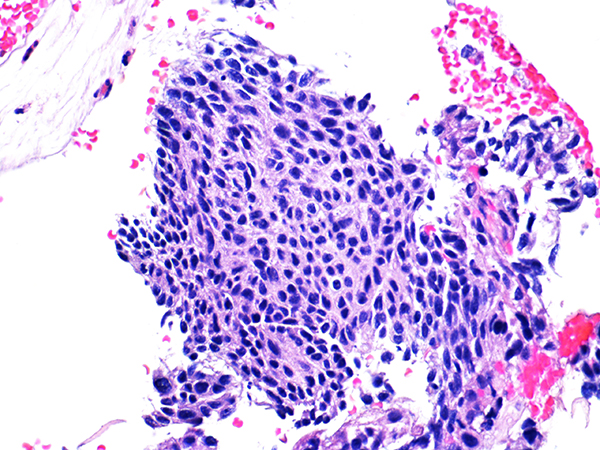
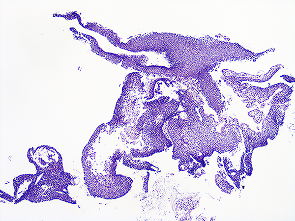
Case 1
Soft Bx CIN 2
10x - Low Power
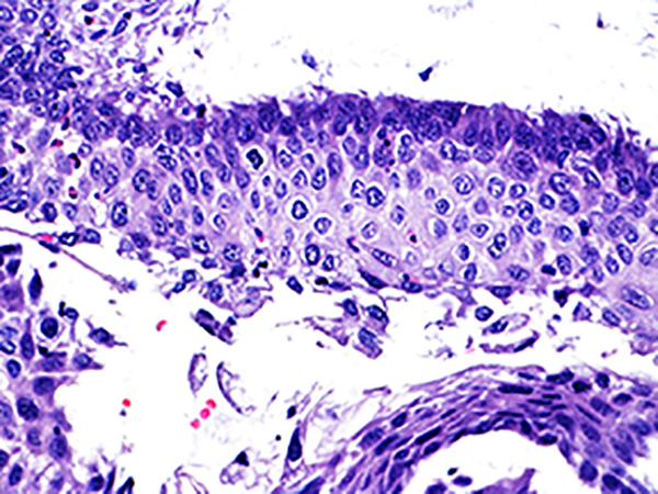
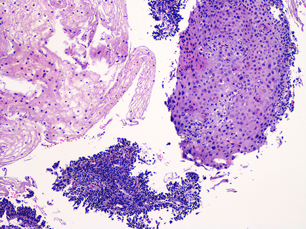
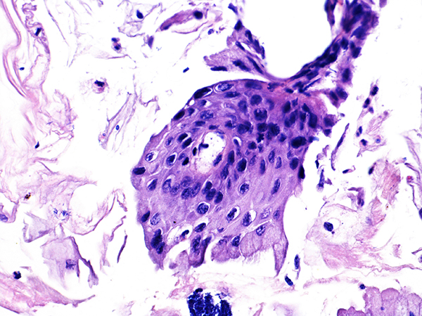
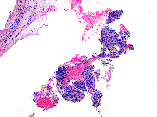
Case 1
Area 1 - Soft Bx CIN 2
40x - High Power
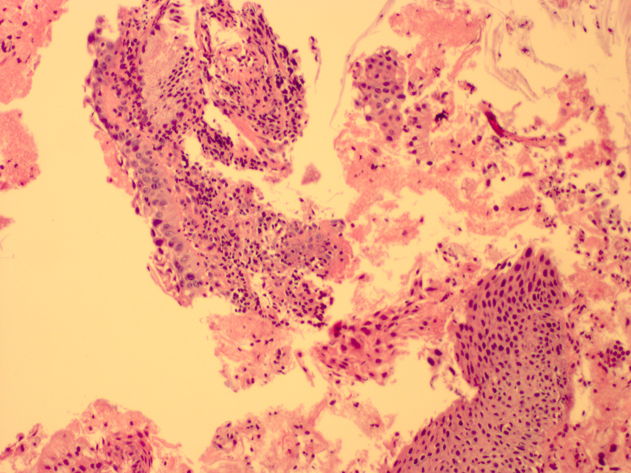
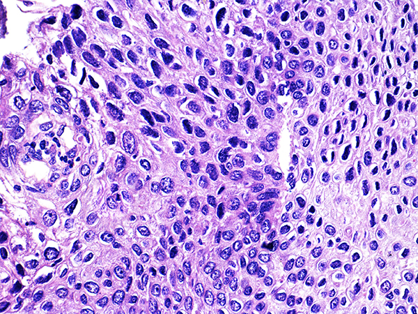
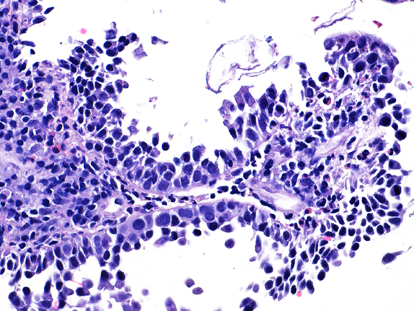
Case 1
Area 2 - Soft Bx CIN 2
40x - High Power
   
 
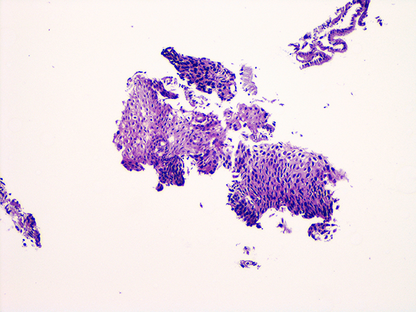
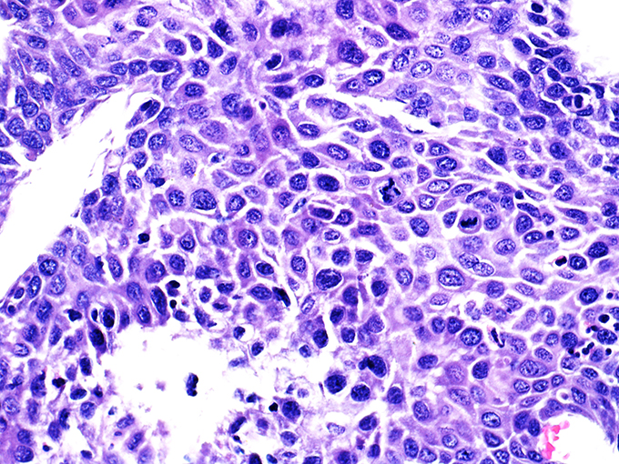
Case 2
Soft Bx  CIN 2
10x - Low Power
 
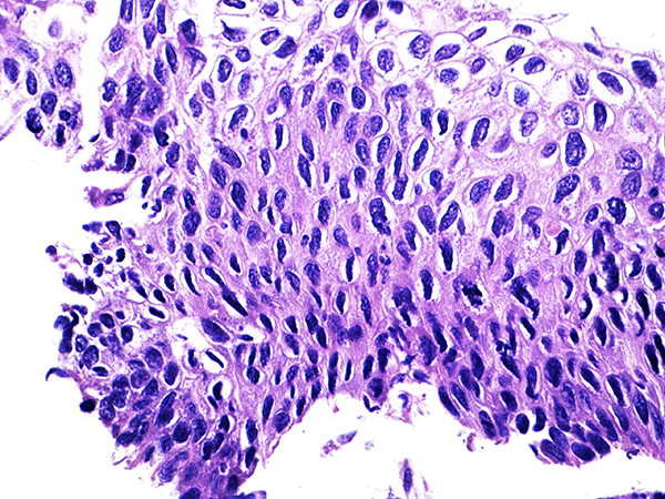
Case 2
Soft Bx CIN 2
40x - High Power
 
   
Case 3
Soft Bx CIN 2-3
10x - Low Power
Case 3
Soft Bx CIN 3
10x - Low Power
Case 3
Soft Bx CIN 3
40x - High Power
   
Case 4
Soft Bx CIN 3
10x - Low Power
Case 4
Soft Bx CIN 3
40x - High Power
 
   
Case 5
Soft Bx CIN 1
10x - Low Power
Case 5
Soft Bx CIN 1
40x - High Power
 
 
Case 6
Soft ECC CIN 1
40x - High Power
 
Case 7
Soft ECC CIN 2
40x - High Power
Case 8
Soft ECC CIN 2-3
10x - Low Power
 
Case 9
Soft ECC CIN 3
40x - High Power
   
   
 
HGSIL Soft Bx
Low Power
 
HGSIL Soft ECC
Low Power